loader image

Casi clinici

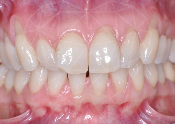
Ortodonzia Fissa

Caso clinico di trattamento ortodontico gestito attraverso un dispositivo fisso con attacchi estetici in ceramica della durata di 18 mesi.

Paziente: maschio di 17 anni
Operatore: Dr. Mantovani E.

  • Before-Prima
    After-Prima
    Dopo Prima After
  • Before-Caso Ortodonzia 2
    After-Caso Ortodonzia 2
    Prima Caso Ortodonzia 2 Dopo

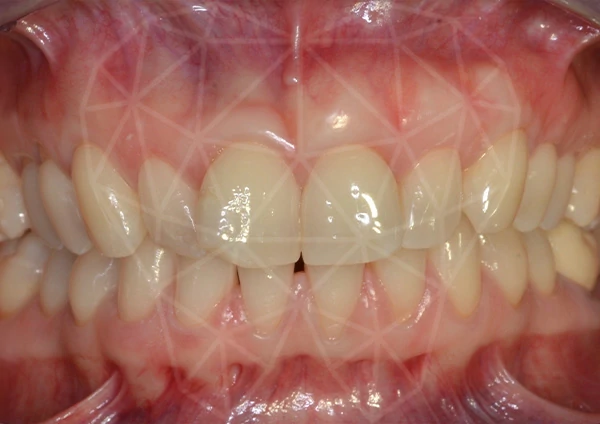
Ortodonzia Invisibile

Caso clinico di trattamento ortodontico gestito attraverso allineatori invisibili Invisalign® della durata di 12 mesi.

Paziente: maschio di 29 anni
Operatore: Dr.ssa Giraudi M.

Parodontologia - Paziente 1

Chirurgia plastica parodontale per la copertura radicolare. Lato destro.

Paziente: maschio di 39 anni
Operatore: Dr.ssa Giraudi

  • Before-Parodontologia 39 anni
    After-Parodontologia 39 anni
    Prima Parodontologia 39 anni Dopo
  • Before-Parodontologia 48 anni
    After-Parodontologia 48 anni
    Prima Parodontologia 48 anni Dopo

Parodontologia - Paziente 2

Chirurgia plastica parodontale per la copertura radicolare. Lato sinistro.

Paziente: maschio di 39 anni
Operatore: Dr.ssa Giraudi M.

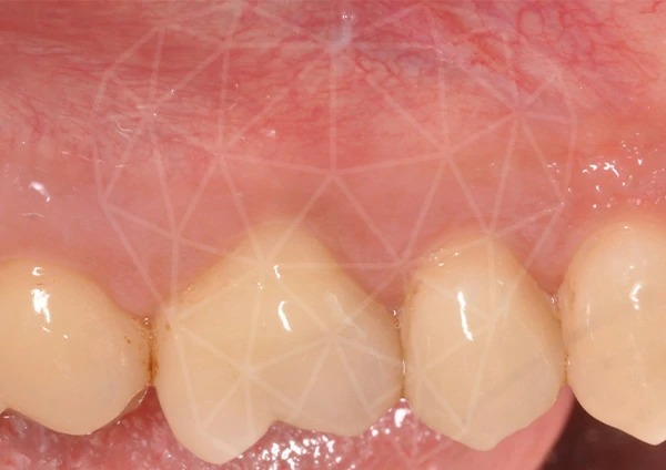
Parodontologia - Paziente 3

Chirurgia plastica parodontale per la copertura radicolare. Arcata superiore.

Paziente: donna di 48 anni
Operatore: Dr.ssa Giraudi

  • Before-Parodontologia
    After-Parodontologia
    Prima Parodontologia Dopo
  • Before-Caso Protesi
    After-Caso Protesi
    Prima Caso Protesi Dopo

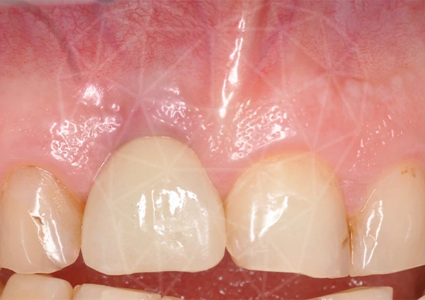
Protesi

Rifacimento corona in zirconia ceramica su impianto in posizione 11 associato a chirurgia e ricostruzioni dirette in composito sugli incisivi.

Paziente: maschio di 42 anni
Operatore: Dr.ssa Giraudi

Protesi

Rifacimento corone in zirconia ceramica su denti naturali.

Paziente: maschio di 47 anni
Operatore: Dr.ssa Giraudi

  • Before-Protesi maschio quarantadue
    After-Protesi maschio quarantadue
    Prima Protesi maschio quarantadue Dopo